Ăn đồ sống, người đàn ông 41 tuổi ở Hà Nội bị sán lá gan gây tổn thương nặng

Tuấn Văn

10/09/2025 09:42 GMT+7

VTV.vn - Thói quen ăn gỏi cá, rau sống khiến anh L.T.N., nhiễm sán lá gan lớn, dẫn đến nhiều ổ tổn thương khu trú ở gan phải.

Hình minh họa.

Hình minh họa.

Phòng khám Đa khoa Medlatec Tây Hồ (Hà Nội) vừa phát hiện trường hợp bệnh nhân L.T.N. (41 tuổi, Hà Nội) bị tổn thương gan nghiêm trọng do sán lá gan lớn.

Anh N. kinh doanh quán nhậu, thường xuyên sử dụng rau sống, gỏi cá và không có thói quen tẩy giun định kỳ. Kết quả xét nghiệm cho thấy bạch cầu ái toan tăng cao, rối loạn chuyển hóa lipid máu; men gan, đường máu và mỡ máu đều vượt ngưỡng. Siêu âm ghi nhận gan phải bất thường, có nốt vôi hóa và thoái hóa mỡ độ I.

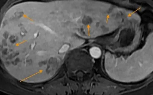
Chụp cộng hưởng từ (MRI) ổ bụng phát hiện nhiều ổ tổn thương khu trú gan phải, nghi do ký sinh trùng. Xét nghiệm chuyên sâu xác nhận bệnh nhân dương tính với sán lá gan lớn và giun lươn. Anh N. được chẩn đoán tổn thương gan do sán lá gan lớn kèm rối loạn lipid máu, bác sĩ kê phác đồ điều trị và hẹn tái khám sau 1 tháng.

Theo ThS.BSNT Trần Văn Chiều, Trưởng Phòng Hóa sinh - Trung tâm Xét nghiệm Medlatec, sán lá gan có thể gây áp xe gan, hoại tử nhu mô gan, viêm tắc mật, sỏi mật, thậm chí ung thư đường mật. "Phát hiện sớm và xử trí kịp thời quyết định hiệu quả điều trị dứt điểm", bác sĩ nhấn mạnh.

Chuyên gia khuyến cáo: người dân không nên ăn gỏi cá, rau sống không đảm bảo vệ sinh; cần rửa tay sạch trước khi ăn, ăn chín uống sôi và tẩy giun định kỳ để phòng bệnh.

Bạn cần đăng nhập để thực hiện chức năng này!

Bình luận không đăng nhập

Bạn không thể gửi bình luận liên tục.
Xin hãy đợi 60 giây nữa.