Sán lá gan

Cẩn trọng với nguy cơ nhiễm sán lá gan từ thói quen ăn cá sống

Cẩn trọng với nguy cơ nhiễm sán lá gan từ thói quen ăn cá sống

VTV.vn - Trung tâm Y tế khu vực Lục Yên (Lào Cai) ghi nhận nhiều người dân nhiễm sán lá gan do thói quen ăn cá sống, rau thủy sinh hoặc uống nước chưa đun sôi.
Áp xe gan do sán lá gan: Lời cảnh báo từ thực tế điều trị

Áp xe gan do sán lá gan: Lời cảnh báo từ thực tế điều trị

VTV.vn - Một bệnh nhân 60 tuổi, trú tại Đặc khu Vân Đồn (Quảng Ninh) vừa được chẩn đoán áp xe gan do nhiễm sán lá gan.
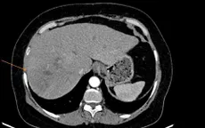
Ăn đồ sống, người đàn ông 41 tuổi ở Hà Nội bị sán lá gan gây tổn thương nặng

Ăn đồ sống, người đàn ông 41 tuổi ở Hà Nội bị sán lá gan gây tổn thương nặng

VTV.vn - Thói quen ăn gỏi cá, rau sống khiến anh L.T.N., nhiễm sán lá gan lớn, dẫn đến nhiều ổ tổn thương khu trú ở gan phải.
Đau thượng vị tưởng bệnh dạ dày, đi khám phát hiện áp xe gan do sán lá gan lớn

Đau thượng vị tưởng bệnh dạ dày, đi khám phát hiện áp xe gan do sán lá gan lớn

VTV.vn - Đau thượng vị tưởng bệnh dạ dày, cô gái 23 tuổi ở TP Hồ Chí Minh đi khám phát hiện áp xe gan do sán lá gan lớn, nguy cơ biến chứng đe dọa tính mạng nếu điều trị muộn.
Nhiễm trùng đường mật do sán lá gan cư trú trong ống mật

Nhiễm trùng đường mật do sán lá gan cư trú trong ống mật

VTV.vn - Một bệnh nhân bị sán lá gan cư trú ở trong ống mật chủ gây tắc mật nhiễm trùng vừa được các bác sĩ Bệnh viện C Đà Nẵng nội soi mật tụy ngược dòng (ERCP) lấy ra ngoài.
Đừng chủ quan với biến chứng nguy hiểm của bệnh sán lá gan

Đừng chủ quan với biến chứng nguy hiểm của bệnh sán lá gan

VTV.vn - Bệnh sán lá gan được Tổ chức Y tế thế giới (WHO) xếp vào danh sách 20 bệnh nhiệt đới ít được người bệnh quan tâm.
Hy hữu: Sán lá gan chui ra từ ống dẫn lưu đường mật

Hy hữu: Sán lá gan chui ra từ ống dẫn lưu đường mật

VTV.vn - Bệnh viện Bạch Mai tiếp nhận một bệnh nhân nam 57 tuổi, nhập viện trong tình trạng đau bụng, sốt, vàng da, mệt mỏi, nước tiểu sẫm màu.
Hàng trăm ca nhiễm sán lá gan do ăn rau sống

Hàng trăm ca nhiễm sán lá gan do ăn rau sống

VTV.vn - Bệnh viện Bệnh Nhiệt đới TP Hồ Chí Minh cho biết, trong 3 tháng đầu năm, đơn vị này tiếp nhận hơn 170 ca áp xe gan do sán lá gan lớn.
Cảnh báo áp xe gan do sán lá gan lớn

Cảnh báo áp xe gan do sán lá gan lớn

VTV.vn - Trong 3 tháng đầu năm 2023, Bệnh viện Bệnh nhiệt đới TP. Hồ Chí Minh đã tiếp nhận và điều trị 172 ca bệnh áp xe gan do sán lá gan lớn.
Nguy cơ nhiễm sán lá gan từ thói quen ăn uống mà nhiều người mắc phải

Nguy cơ nhiễm sán lá gan từ thói quen ăn uống mà nhiều người mắc phải

VTV.vn - Chỉ trong 3 tháng đầu năm nay, Bệnh viện Bệnh nhiệt đới TP Hồ Chí Minh tiếp nhận 172 ca bệnh áp xe gan do sán lá gan lớn.
Nhiễm trùng đường mật do sán lá gan

Nhiễm trùng đường mật do sán lá gan

VTV.vn - Bệnh viện Bãi Cháy (Quảng Ninh) vừa nội soi mật tụy ngược dòng điều trị cho một bệnh nhân bị nhiễm sán lá gan.
Bệnh nhân thủng đại tràng, tổn thương gan do sán lá gan

Bệnh nhân thủng đại tràng, tổn thương gan do sán lá gan

VTV.vn - Một tháng trước khi nhập viện, bệnh nhân T.B, 60 tuổi, trú tại Hà Tĩnh đau âm ỉ vùng thượng vị và hạ sườn phải, người mệt mỏi, chán ăn, sụt cân (5 - 6kg/tháng).
Nội soi gắp... 50 con sán lá gan trong đường mật bệnh nhân

Nội soi gắp... 50 con sán lá gan trong đường mật bệnh nhân

VTV.vn - Bệnh viện Bãi Cháy (Quảng Ninh) vừa gắp 50 con sán lá gan nhỏ trong ống mật chủ của bệnh nhân nam 52 tuổi bằng kỹ thuật nội soi tụy mât ngược dòng.
Cả ổ sán bò lúc nhúc trong đường mật người đàn ông

Cả ổ sán bò lúc nhúc trong đường mật người đàn ông

VTV.vn - Vào viện thăm khám do đau bụng từng cơn, đau vùng thượng vị kèm buồn nôn, người đàn ông ở TP.HCM tá hỏa với hình ảnh sán bò lúc nhúc trong đường mật của mình.
Ba bệnh ký sinh trùng đáng sợ gia tăng trở lại ở Việt Nam

Ba bệnh ký sinh trùng đáng sợ gia tăng trở lại ở Việt Nam

VTV.vn - Gần đây tỷ lệ một số bệnh ký sinh trùng mới nổi từ động vật lây sang người như sán lá gan lớn, sán dây lợn, sán dây bò, giun lươn, giun đũa chó/mèo tăng nhanh.