ăn đồ sống

Cẩn trọng với nguy cơ nhiễm sán lá gan từ thói quen ăn cá sống

Cẩn trọng với nguy cơ nhiễm sán lá gan từ thói quen ăn cá sống

VTV.vn - Trung tâm Y tế khu vực Lục Yên (Lào Cai) ghi nhận nhiều người dân nhiễm sán lá gan do thói quen ăn cá sống, rau thủy sinh hoặc uống nước chưa đun sôi.
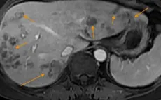
Ăn đồ sống, người đàn ông 41 tuổi ở Hà Nội bị sán lá gan gây tổn thương nặng

Ăn đồ sống, người đàn ông 41 tuổi ở Hà Nội bị sán lá gan gây tổn thương nặng

VTV.vn - Thói quen ăn gỏi cá, rau sống khiến anh L.T.N., nhiễm sán lá gan lớn, dẫn đến nhiều ổ tổn thương khu trú ở gan phải.
55 người nhiễm sán lá gan nhỏ vì thói quen ăn đồ sống

55 người nhiễm sán lá gan nhỏ vì thói quen ăn đồ sống

VTV.vn - 55 người nhiễm sán lá gan nhỏ sống tại xã Liên Vị, thị xã Quảng Yên, tỉnh Quảng Ninh.
Nguy cơ sán não do thói quen ăn đồ sống hoặc tái

Nguy cơ sán não do thói quen ăn đồ sống hoặc tái

VTV.vn - Đây là bệnh liên quan ký sinh trùng nguy hiểm nhất lại thường bị nhầm với bệnh về thần kinh nên phần lớn phát hiện muộn, khi ấu trùng sán lợn đã gây tổn thương não.