thủng đại tràng

Thủng đại tràng do bị vòi rửa xe xịt vào hậu môn

Thủng đại tràng do bị vòi rửa xe xịt vào hậu môn

VTV.vn - Bệnh viện Đa khoa tỉnh Lạng Sơn vừa cấp cứu thành công một trường hợp thủng đại tràng do bị bạn dùng vòi rửa xe ô tô áp lực cao xịt vào hậu môn.
Thủng đại tràng vì nuốt phải tăm tre dài 10cm

Thủng đại tràng vì nuốt phải tăm tre dài 10cm

VTV.vn - Người bệnh 64 tuổi, bị đau bụng nên đến bệnh viện khám thì tá hỏa khi phát hiện có chiếc tăm tre dài 10cm đâm thủng đại tràng.
Thủng trực tràng do thải độc bằng phương pháp thụt tháo cà phê

Thủng trực tràng do thải độc bằng phương pháp thụt tháo cà phê

VTV.vn - Khoa Phẫu Thuật Tiêu hóa - Gan mật tụy, Bệnh viện Bạch Mai vừa điều trị phẫu thuật một trường hợp vỡ trực tràng do thải độc (detox) bằng phương pháp thụt tháo cà phê.
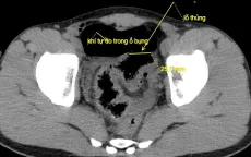
Bị táo bón kéo dài, bé trai 6 tuổi thủng đại tràng rơi vào nguy kịch

Bị táo bón kéo dài, bé trai 6 tuổi thủng đại tràng rơi vào nguy kịch

VTV.vn - Bệnh viện Nhi đồng 2 (TP. Hồ Chí Minh) vừa tiếp nhận một trường hợp bé trai 6 tuổi, được tuyến dưới chuyển đến trong tình trạng nguy kịch, sốc nhiễm trùng nhiễm độc.
Bệnh nhân thủng đại tràng, tổn thương gan do sán lá gan

Bệnh nhân thủng đại tràng, tổn thương gan do sán lá gan

VTV.vn - Một tháng trước khi nhập viện, bệnh nhân T.B, 60 tuổi, trú tại Hà Tĩnh đau âm ỉ vùng thượng vị và hạ sườn phải, người mệt mỏi, chán ăn, sụt cân (5 - 6kg/tháng).