Thủng đại tràng do bị vòi rửa xe xịt vào hậu môn

Tuấn Văn

18/10/2025 06:00 GMT+7

VTV.vn - Bệnh viện Đa khoa tỉnh Lạng Sơn vừa cấp cứu thành công một trường hợp thủng đại tràng do bị bạn dùng vòi rửa xe ô tô áp lực cao xịt vào hậu môn.

Bệnh nhân nhập viện trong tình trạng đau bụng dữ dội, bụng chướng căng, khó thở, mệt lả. Người bệnh cho biết bị bạn trêu đùa, dùng vòi rửa xe ô tô áp lực cao xịt vào vùng hậu môn.

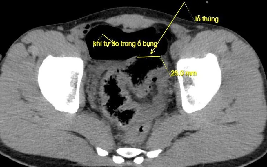
Kết quả chụp CT ổ bụng cho thấy nhiều khí tự do trong ổ bụng, nghi ngờ thủng tạng rỗng. Bệnh nhân được chỉ định mổ cấp cứu ngay. Trong quá trình phẫu thuật, ekip phát hiện đại tràng sigma thủng 2cm, dập nát quanh vùng tổn thương, có máu và dịch bẩn trong ổ bụng. Các bác sĩ đã tiến hành cắt lọc, khâu phục hồi đại tràng, rửa ổ bụng và dẫn lưu. Hiện bệnh nhân tỉnh, bụng mềm, trung tiện được, sức khỏe ổn định.

Theo bác sĩ điều trị, vòi xịt rửa xe có áp lực nước rất lớn, từ 100-200 bar, khi tác động trực tiếp vào vùng hậu môn có thể khiến khí và nước xâm nhập sâu vào ruột, làm tăng áp lực trong lòng ruột gây thủng, tràn khí ổ bụng, thậm chí đe dọa tính mạng.

Các bác sĩ khuyến cáo người dân: Tuyệt đối không sử dụng vòi rửa xe, máy nén khí hoặc thiết bị áp lực cao để vệ sinh vùng hậu môn - sinh dục. Chỉ dùng vòi xịt vệ sinh chuyên dụng trong nhà tắm, áp lực thấp, đảm bảo an toàn.

Khi có triệu chứng đau bụng, chướng bụng, nôn, bí trung đại tiện sau chấn thương vùng bụng - hậu môn, cần đến bệnh viện ngay để được xử trí kịp thời.

Bạn cần đăng nhập để thực hiện chức năng này!

Bình luận không đăng nhập

Bạn không thể gửi bình luận liên tục.
Xin hãy đợi 60 giây nữa.