sảy thai

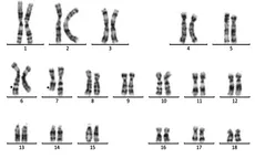
Liên tiếp sảy thai, người phụ nữ trẻ phát hiện bất thường nhiễm sắc thể

Liên tiếp sảy thai, người phụ nữ trẻ phát hiện bất thường nhiễm sắc thể

VTV.vn - Sau nhiều lần sảy thai sớm, nữ bệnh nhân 27 tuổi ở Hà Nội được xác định mang bất thường nhiễm sắc thể - nguyên nhân tiềm ẩn gây sảy thai liên tiếp và dị tật thai.
Trí tuệ nhân tạo giúp tăng tỷ lệ thành công trong điều trị IVF

Trí tuệ nhân tạo giúp tăng tỷ lệ thành công trong điều trị IVF

VTV.vn - Tại Trung tâm Hỗ trợ Sinh sản, Hệ thống BVĐK Tâm Anh, nhiều trường hợp tiền căn chuyển phôi thất bại nhiều lần, sảy thai sớm đã thành công mang thai và sinh con khỏe mạnh.
Nguyên nhân thất bại làm tổ và sảy thai liên tiếp trong điều trị hiếm muộn

Nguyên nhân thất bại làm tổ và sảy thai liên tiếp trong điều trị hiếm muộn

VTV.vn - Bệnh nhân đến điều trị hiếm muộn ở độ tuổi ngày càng trẻ và bệnh lý càng lúc phức tạp, từng điều trị thất bại nhiều lần và sảy thai liên tiếp…
Tư vấn trực tuyến: "Nguyên nhân thất bại làm tổ, sảy thai liên tiếp và kỹ thuật mới tối ưu tỷ lệ IVF thành công"

Tư vấn trực tuyến: "Nguyên nhân thất bại làm tổ, sảy thai liên tiếp và kỹ thuật mới tối ưu tỷ lệ IVF thành công"

VTV.vn - Chương trình tư vấn trực tuyến: "Nguyên nhân thất bại làm tổ, sảy thai liên tiếp và kỹ thuật mới tối ưu tỷ lệ IVF thành công" sẽ diễn ra vào 20h thứ 5, ngày 27/10.
Chrissy Teigen vẫn chưa hồi phục hậu sảy thai

Chrissy Teigen vẫn chưa hồi phục hậu sảy thai

VTV.vn - Việc mất người con thứ 3 vẫn là một cú shock quá lớn đối với siêu mẫu Chrissy Teigen.
Cứu sản phụ mất máu nghiêm trọng từng 2 lần sinh mổ

Cứu sản phụ mất máu nghiêm trọng từng 2 lần sinh mổ

VTV.vn - Bệnh viện Sản - Nhi tỉnh Quảng Ngãi vừa tiếp nhận cấp cứu một sản phụ bị sảy thai có tiền sử 2 lần sinh mổ.
Cát đỏ - Tập 12: Quang "lên giường" với cô gái khác khi Nhan nằm viện

Cát đỏ - Tập 12: Quang "lên giường" với cô gái khác khi Nhan nằm viện

VTV.vn - Nhan nhập viện vì sảy thai khiến Nhớ và chị Đủ rất đau lòng. Trong khi đó, Quang lại mặn nồng bên cô gái khác.
NSND Lê Khanh chia sẻ về quá khứ bị sảy thai

NSND Lê Khanh chia sẻ về quá khứ bị sảy thai

VTV.vn - Trong chương trình Chị em chúng mình, Lê Khanh đã bật khóc, tự trách bản thân vì công việc mà đánh mất con.
Halsey trải lòng chuyện sảy thai 3 lần

Halsey trải lòng chuyện sảy thai 3 lần

VTV.vn - Nữ ca sĩ chia sẻ việc sảy thai 3 lần liên tiếp khiến cô vô cùng đau đớn.
Sảy thai vì quan hệ khi mang bầu

Sảy thai vì quan hệ khi mang bầu

VTV.vn - Trong thời kỳ mang thai, ngoài việc cần bổ sung đầy đủ các chất dinh dưỡng thì kiêng quan hệ tình dục cũng rất quan trọng.
Ngay trước giờ biểu diễn, thành viên Backstreet Boys nhận tin vợ sảy thai

Ngay trước giờ biểu diễn, thành viên Backstreet Boys nhận tin vợ sảy thai

VTV.vn - Ngày 11/9 (theo giờ địa phương), cựu thành viên nhóm nhạc Backstreet Boys Nick Carter đã đau lòng tiết lộ vợ vừa sảy thai đứa con thứ hai.
Bộ Y tế yêu cầu làm rõ vụ bệnh nhân tố bệnh viện “sáng báo không có thai, chiều nói sảy thai”

Bộ Y tế yêu cầu làm rõ vụ bệnh nhân tố bệnh viện “sáng báo không có thai, chiều nói sảy thai”

VTV.vn - Cục Quản lý khám chữa bệnh vừa có văn bản gửi Sở Y tế TP.HCM yêu cầu làm rõ vụ việc bệnh nhân tố cáo Bệnh viện FV sáng nói bệnh nhân không có thai, tối lại nói sảy thai.
Từ Hy Viên chấm dứt thai kỳ vì không có tim thai

Từ Hy Viên chấm dứt thai kỳ vì không có tim thai

VTV.vn - Nữ diễn viên 42 tuổi cho biết bác sĩ thông báo không tìm thấy tim thai, cộng với thai nhi phát triển không bình thường nên gia đình cô đã quyết định bỏ đứa bé.
Nguy cơ khi mang thai sau 35 tuổi

Nguy cơ khi mang thai sau 35 tuổi

VTV.vn - Những phụ nữ sau 35 tuổi mang thai tăng gấp đôi nguy cơ huyết áp cao và tăng 2-3 lần nguy cơ mắc tiểu đường thai kỳ.
Thịt đỏ cải thiện khả năng sinh sản

Thịt đỏ cải thiện khả năng sinh sản

Các chất dinh dưỡng trong thịt đỏ có thể cải thiện sức khỏe sinh sản ở nam lẫn nữ giới, femalefirst.co.uk đưa tin.