Liên tiếp sảy thai, người phụ nữ trẻ phát hiện bất thường nhiễm sắc thể

Tuấn Văn

27/08/2025 16:45 GMT+7

VTV.vn - Sau nhiều lần sảy thai sớm, nữ bệnh nhân 27 tuổi ở Hà Nội được xác định mang bất thường nhiễm sắc thể - nguyên nhân tiềm ẩn gây sảy thai liên tiếp và dị tật thai.

Năm 2024, chị T.T.H. (27 tuổi, Hà Nội) liên tiếp trải qua 2 lần sảy thai khi thai chưa đến 12 tuần tuổi. Sang năm 2025, niềm hy vọng có con một lần nữa nhen nhóm, nhưng chị lại tiếp tục mất thai ở giai đoạn sớm. Trước những biến cố liên tiếp, gia đình quyết định đưa chị đến Phòng khám Di truyền Medlatec để tìm nguyên nhân.

Các bác sĩ tiến hành kiểm tra tổng quát cho cả hai vợ chồng, kết quả cho thấy sức khỏe ổn định, không phát hiện bệnh lý bất thường. Tuy nhiên, để loại trừ yếu tố di truyền ảnh hưởng đến khả năng sinh sản, cặp đôi được chỉ định làm xét nghiệm nhiễm sắc thể đồ.

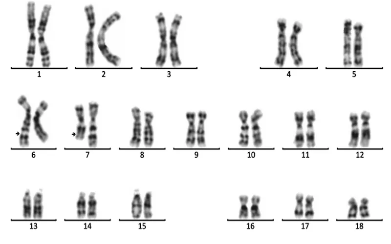
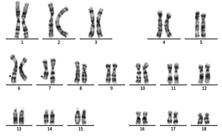
Kết quả phân tích cho thấy người vợ mang bất thường chuyển đoạn tương hỗ giữa nhiễm sắc thể số 6 và số 7, trong khi người chồng không phát hiện bất thường. Đây là nguyên nhân giải thích tình trạng sảy thai liên tiếp của bệnh nhân.

ThS.BSNT Nguyễn Bá Sơn - Phòng khám Di truyền Medlatec cho biết: "Không ít cặp vợ chồng bề ngoài hoàn toàn khỏe mạnh nhưng gặp khó khăn trong hành trình làm cha mẹ, do một trong hai mang bất thường nhiễm sắc thể. Dù người mang bất thường cân bằng vẫn khỏe mạnh, nhưng quá trình sinh sản có thể tạo ra phôi không cân bằng, dẫn đến sảy thai, thai lưu hoặc con sinh ra mắc dị tật bẩm sinh".

Sau khi phân tích nguyên nhân, bác sĩ tư vấn vợ chồng chị H. lựa chọn thụ tinh trong ống nghiệm (IVF) kết hợp sàng lọc di truyền tiền làm tổ (PGT). Phương pháp này giúp chọn những phôi không mang bất thường di truyền trước khi chuyển vào tử cung, giảm đáng kể nguy cơ sảy thai và dị tật.

Xét nghiệm nhiễm sắc thể đồ (Karyotype) là kỹ thuật di truyền học cơ bản, cho phép quan sát toàn bộ 46 nhiễm sắc thể về số lượng, hình thái và cấu trúc. Qua đó, các bất thường như mất đoạn, đảo đoạn, chuyển đoạn… được phát hiện, lý giải nhiều vấn đề về sức khỏe sinh sản.

Không ít rối loạn di truyền nghiêm trọng được chẩn đoán nhờ kỹ thuật này, điển hình như hội chứng Down, Turner, Klinefelter, hoặc các bất thường chuyển đoạn. Đặc biệt, ở những cặp vợ chồng có tiền sử sảy thai, thai lưu liên tiếp, xét nghiệm này được coi là chỉ định cần thiết.

Theo ThS.BSNT Nguyễn Bá Sơn, nếu có điều kiện, xét nghiệm nhiễm sắc thể nên được thực hiện ngay từ giai đoạn khám tiền hôn nhân hoặc trước khi mang thai, nhất là với các trường hợp từng sảy thai, sinh con dị tật hoặc vô sinh chưa rõ nguyên nhân.

Bạn cần đăng nhập để thực hiện chức năng này!

Bình luận không đăng nhập

Bạn không thể gửi bình luận liên tục.
Xin hãy đợi 60 giây nữa.