Bệnh viện Đa khoa Medlatec vừa tiếp nhận trường hợp bệnh nhân N.B.M. (16 tuổi, Phú Thọ) nhiều lần té ngã, co giật bất thường dù sức khỏe trước đó hoàn toàn bình thường. Thăm khám cho thấy em mắc động kinh khởi phát cục bộ chuyển thành co cứng, co giật hai bên.
Theo chia sẻ của gia đình, trong vòng một năm, bệnh nhân đã ba lần bất ngờ ngã và mất ý thức. Ở lần gần nhất, gia đình chứng kiến rõ diễn biến cơn: bệnh nhân đột ngột quay mắt, quay đầu sang trái, đảo ngược nhãn cầu, toàn thân co cứng và xuất hiện co giật kéo dài 1-2 phút. Sau cơn, bệnh nhân tỉnh lại nhưng không nhớ sự việc.
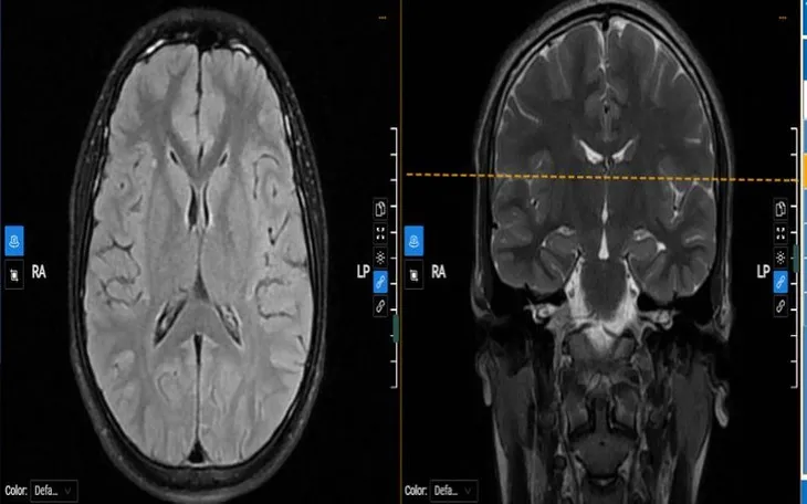
Kết quả điện não đồ ghi nhận các hoạt động kịch phát ở bán cầu phải, lan sang cả hai bên. Hình ảnh cộng hưởng từ não phát hiện vài nốt mất myelin rải rác. Các xét nghiệm máu và thăm dò tim mạch không phát hiện bất thường nguy hiểm. Từ đó, các bác sĩ chẩn đoán động kinh khởi phát cục bộ và kê thuốc chống co giật điều trị ngoại trú.
Động kinh là rối loạn thần kinh mạn tính do các tế bào thần kinh hoạt động bất thường, gây tái diễn cơn động kinh. Bệnh có thể gặp ở mọi lứa tuổi, đặc biệt ở trẻ em, gây ảnh hưởng sức khỏe, học tập và tâm lý nếu không phát hiện sớm.
Theo ThS.BS Bùi Thị Thanh, Khoa Thần kinh, cha mẹ cần cảnh giác với những biểu hiện dù thoáng qua như: trẻ bất ngờ ngã, mất ý thức chốc lát, mắt nhìn chằm chằm, không phản ứng trong vài giây, co giật nhẹ hoặc rung lắc toàn thân, lặp đi lặp lại các hành vi vô thức. Một số trẻ còn xuất hiện cơn giật ngắn trong lúc ngủ và tỉnh dậy mệt mỏi bất thường.
Để chẩn đoán chính xác, cần kết hợp thăm khám lâm sàng với các kỹ thuật như điện não đồ, cộng hưởng từ sọ não - mạch máu não, xét nghiệm máu và đánh giá tim mạch.
Thực tế, nhiều phụ huynh nhầm lẫn động kinh với co giật do sốt hoặc ngất xỉu thoáng qua, dẫn đến chậm trễ điều trị. Động kinh hoàn toàn có thể kiểm soát tốt bằng thuốc nếu phát hiện sớm và tuân thủ điều trị. Việc bỏ thuốc giữa chừng hoặc sử dụng mẹo dân gian không chỉ làm bệnh nặng thêm mà còn nguy hiểm cho người bệnh.
Hiện nay, thuốc chống động kinh là phương pháp nền tảng trong kiểm soát bệnh, bên cạnh các biện pháp hỗ trợ khác như phẫu thuật hay chế độ ăn đặc biệt. Điều quan trọng là người bệnh cần tuân thủ nghiêm phác đồ để duy trì hiệu quả lâu dài.
Phát hiện và điều trị sớm động kinh giúp trẻ giảm nguy cơ chấn thương, duy trì học tập, phát triển tâm lý - xã hội bình thường, qua đó có một cuộc sống khỏe mạnh và hòa nhập cộng đồng.
Bình luận (0)