động kinh

WHO kêu gọi quan tâm hơn đến các bệnh lý thần kinh

WHO kêu gọi quan tâm hơn đến các bệnh lý thần kinh

VTV.vn - Tổ chức Y tế Thế giới kêu gọi tăng cường chăm sóc các bệnh lý thần kinh, hiện ảnh hưởng tới hơn 3 tỷ người trên toàn cầu.
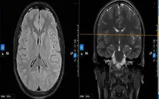
Nam sinh 16 tuổi ở Phú Thọ được chẩn đoán động kinh sau nhiều lần té ngã, co giật

Nam sinh 16 tuổi ở Phú Thọ được chẩn đoán động kinh sau nhiều lần té ngã, co giật

VTV.vn - Nhiều lần đột ngột té ngã, co giật toàn thân dù trước đó khỏe mạnh, nam sinh 16 tuổi ở Phú Thọ được chẩn đoán động kinh khởi phát cục bộ.
Người đầu tiên trên thế giới được cấy ghép não để kiểm soát cơn động kinh

Người đầu tiên trên thế giới được cấy ghép não để kiểm soát cơn động kinh

VTV.vn - Một thiếu niên người Anh mắc chứng động kinh nặng đã trở thành người đầu tiên trên thế giới được cấy ghép não để kiểm soát cơn động kinh.
Thiết bị hỗ trợ điều trị bệnh nhân mắc chứng động kinh

Thiết bị hỗ trợ điều trị bệnh nhân mắc chứng động kinh

VTV.vn - Một công ty công nghệ Trung Quốc mới đây đã chế tạo thành công loại thiết bị cho phép giảm thiểu tần suất các cơn co giật của bệnh nhân động kinh.
Động kinh do ngộ độc thuốc bảo vệ thực vật

Động kinh do ngộ độc thuốc bảo vệ thực vật

VTV.vn - Khoa Hồi sức Thần kinh, Bệnh viện Trung ương Quân đội 108 vừa điều trị thành công cho trường hợp bệnh nhân trong trạng thái động kinh do ngộ độc thuốc bảo vệ thực vật.
Minh Xù bất ngờ tiết lộ từng bị động kinh khi nhỏ

Minh Xù bất ngờ tiết lộ từng bị động kinh khi nhỏ

VTV.vn - Lắng nghe chia sẻ của một bé 8 tuổi bị động kinh, MC Minh Xù lần đầu tiết lộ việc mắc căn bệnh này khi còn nhỏ.
Lên cơn co giật ngã xuống nước, một phụ nữ bị bùn lấp đầy hai phổi

Lên cơn co giật ngã xuống nước, một phụ nữ bị bùn lấp đầy hai phổi

VTV.vn - Vốn mắc động kinh từ năm 4 tuổi, người phụ nữ 33 tuổi ở Hậu Giang lên cơn co giật ngã xuống ao nước bẩn. Khi được phát hiện đã hôn mê, miệng mũi nhiều bùn đất.
Cô gái trẻ thường xuyên lên cơn động kinh do dị dạng mạch máu não

Cô gái trẻ thường xuyên lên cơn động kinh do dị dạng mạch máu não

VTV.vn - Thường xuyên đau đầu dữ dội, kèm các cơn động kinh do dị dạng mạch máu não khiến sức khỏe cô gái 28 tuổi người Campuchia ngày càng suy yếu.
Mũ bảo hiểm giúp phát hiện tự kỷ, động kinh ở trẻ em

Mũ bảo hiểm giúp phát hiện tự kỷ, động kinh ở trẻ em

VTV.vn - Một hệ thống quét não có hình dạng giống như chiếc mũ bảo hiểm có thể giúp các nhà khoa học chẩn đoán chứng tự kỷ và các chứng động kinh dễ dàng hơn.
Tư vấn trực tuyến: Báo động gia tăng bệnh động kinh và phương pháp điều trị hiệu quả

Tư vấn trực tuyến: Báo động gia tăng bệnh động kinh và phương pháp điều trị hiệu quả

VTV.vn - Vào lúc 20h00 ngày 30/10/2019, các chuyên gia sẽ giải đáp tất cả các thắc mắc xung quanh chủ đề "Báo động gia tăng bệnh động kinh và phương pháp điều trị hiệu quả".
Xóa bỏ định kiến, giúp người bệnh động kinh tiếp cận phương pháp điều trị hiệu quả

Xóa bỏ định kiến, giúp người bệnh động kinh tiếp cận phương pháp điều trị hiệu quả

VTV.vn - Chương trình Tư vấn trực tuyến: "Báo động gia tăng bệnh động kinh và phương pháp điều trị hiệu quả" sẽ diễn ra vào 20h thứ Tư (ngày 30/10).
Nhận biết những dấu hiệu và triệu chứng co giật ở trẻ sơ sinh

Nhận biết những dấu hiệu và triệu chứng co giật ở trẻ sơ sinh

VTV.vn - Các cơn co giật động kinh ở trẻ sơ sinh sẽ xuất hiện nhiều lần, trong khi đó, co giật do sốt và các nguyên nhân khác thường chỉ xuất hiện một lần.
Những di chứng để lại sau cơn co giật động kinh

Những di chứng để lại sau cơn co giật động kinh

VTV.vn - Các di chứng để lại sau cơn co giật động kinh có thể kéo dài từ vài giây cho đến vài ngày.
Bi đát gia cảnh mẹ động kinh, hai con bệnh máu

Bi đát gia cảnh mẹ động kinh, hai con bệnh máu

Đó là hoàn cảnh thương tâm của gia đình chị Nguyễn Thị Sương (SN 1972 ) và chồng Nguyễn Văn Thanh (SN 1970), tỉnh Bình Định. Hiện tại, gia đình đang rất mong nhận được sự giúp đỡ của cộng đồng.
Thuốc chữa bệnh động kinh ảnh hưởng đến IQ của trẻ

Thuốc chữa bệnh động kinh ảnh hưởng đến IQ của trẻ

Nhà khoa học Kimford Meador từ Trường đại học Emory ở Atlanta (Mỹ) cho biết: Người mẹ mang thai uống một số loại thuốc để chữa bệnh động kinh có thể làm giảm chỉ số IQ của trẻ.