(Ảnh: CDC/Getty)
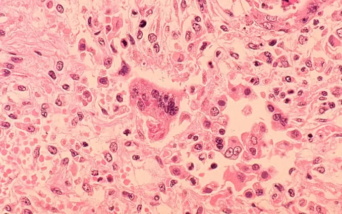
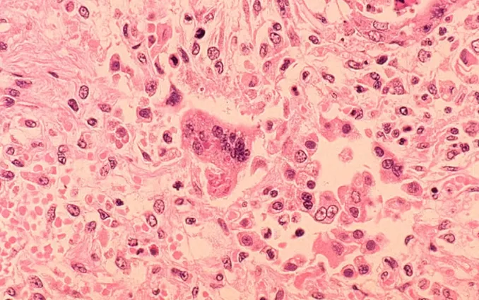
Theo thông báo của Sở y tế Công cộng Quận Los Angeles vào ngày 11/9, trẻ tử vong do biến chứng sởi - chưa đủ tuổi tiêm vaccine vào thời điểm bị nhiễm bệnh - đã chết do viêm não xơ cứng bán cấp. Đây là một rối loạn não gây tử vong, xảy ra với tỷ lệ khoảng 1/10.000 người nhiễm sởi tại Mỹ. Các bác sĩ tin rằng nguy cơ mắc bệnh này cao tới 1/600 trẻ em mắc sởi khi còn nhỏ.
Rối loạn trên thường tiến triển từ 2 - 10 năm sau lần nhiễm bệnh đầu tiên, ngay cả khi - như trường hợp của đứa trẻ này - bệnh nhân đã hồi phục hoàn toàn sau khi mắc bệnh sởi. Bệnh bắt đầu với các cơn co giật, suy giảm nhận thức và co thắt cơ không tự chủ, sau đó tiến triển thành chứng mất trí nhớ, hôn mê và cuối cùng là tử vong.
"Hầu hết các bác sĩ nhi khoa ở Mỹ chưa từng gặp trẻ mắc viêm não xơ cứng bán cấp vì chúng tôi đã tiêm vaccine phòng bệnh sởi cho trẻ em trong nhiều thập kỷ" - Tiến sĩ Adam Ratner, chuyên gia về bệnh truyền nhiễm nhi khoa tại New York, cho biết.

(Ảnh: AP)
Người phát ngôn của Sở Y tế Công cộng Quận Los Angeles xác nhận không thể tiết lộ thêm thông tin chi tiết về độ tuổi, giới tính hoặc địa điểm của bệnh nhi tử vong do luật bảo mật thông tin bệnh nhân. Sở Y tế Công cộng Quận Los Angeles chỉ có thể xác nhận rằng trẻ đã mắc bệnh sởi trước khi đủ điều kiện tiêm vaccine MMR.
"Trường hợp này là một lời nhắc nhở đau lòng về mức độ nguy hiểm của bệnh sởi, đặc biệt là đối với những nhóm người dễ bị tổn thương nhất trong cộng đồng của chúng ta - Tiến sĩ Muntu Davis, cán bộ y tế quận, cho biết trong một tuyên bố - "Trẻ sơ sinh còn quá nhỏ để được tiêm vaccine, do đó tất cả chúng ta cần giúp bảo vệ các em thông qua miễn dịch cộng đồng".
Trẻ em thường được tiêm liều MMR đầu tiên khi được 12 - 15 tháng tuổi và liều thứ hai vào lúc 4 - 6 tuổi.

Bình luận (0)