thủng màng nhĩ

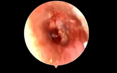
Thủng màng nhĩ vì lấy ráy tai bằng que kim loại

Thủng màng nhĩ vì lấy ráy tai bằng que kim loại

VTV.vn - Dùng que kim loại lấy ráy tai tại nhà, nam bệnh nhân 26 tuổi ở TP Hồ Chí Minh bị thủng màng nhĩ, ù tai kéo dài, phải nhập viện điều trị.
Cảnh báo nguy hiểm khi dùng dụng cụ ngoáy tai

Cảnh báo nguy hiểm khi dùng dụng cụ ngoáy tai

VTV.vn - Một bệnh nhi 5 tuổi bị thủng màng nhĩ khi đang lấy ráy tai tại nhà, nguyên nhân là do em gái bệnh nhi lao vào làm dụng cụ lấy ráy tai đâm thẳng vào.
Nam thanh niên bị thủng màng nhĩ do pháo nổ

Nam thanh niên bị thủng màng nhĩ do pháo nổ

VTV.vn - Các bác sĩ Khoa Tai Mũi Họng, Bệnh viện Việt Nam - Thụy Điển Uông Bí (Quảng Ninh) vừa phẫu thuật vá nhĩ nội soi cho một bệnh nhân bị thủng màng nhĩ do pháo nổ.
Anh trai đùa nghịch nhét hạt vòng vào tai, em bị thủng màng nhĩ

Anh trai đùa nghịch nhét hạt vòng vào tai, em bị thủng màng nhĩ

VTV.vn - Bệnh viện Sản Nhi Hưng Yên vừa tiếp nhận một trường hợp bệnh nhi bị tổn thương tai do đùa nghịch cùng anh trai tại nhà.
Bé trai 5 tuổi bị thủng màng nhĩ vì... nhét pin vào tai

Bé trai 5 tuổi bị thủng màng nhĩ vì... nhét pin vào tai

VTV.vn - Khi đang chơi ở trường, cô giáo phát hiện bé trai này tự nhét hai viên pin cúc áo trong đồ chơi vào tai phải.
Rùng mình xem cảnh kiến xuyên thủng màng nhĩ bé gái 10 tuổi

Rùng mình xem cảnh kiến xuyên thủng màng nhĩ bé gái 10 tuổi

VTV.vn - Bệnh viện đa khoa Hùng Vương (Phú Thọ) vừa gắp thành công một con kiến chui vào trong hòm nhĩ của một bé gái 10 tuổi.