Cấp cứu kịp thời ca thuyên tắc phổi ở người bệnh hút thuốc lá

Linh Chi

07/10/2025 19:53 GMT+7

VTV.vn - Bệnh viện Nhân Dân 115 (TP Hồ Chí Minh) vừa cứu sống nam bệnh nhân 51 tuổi bị thuyên tắc phổi cấp nặng biến chứng sốc.

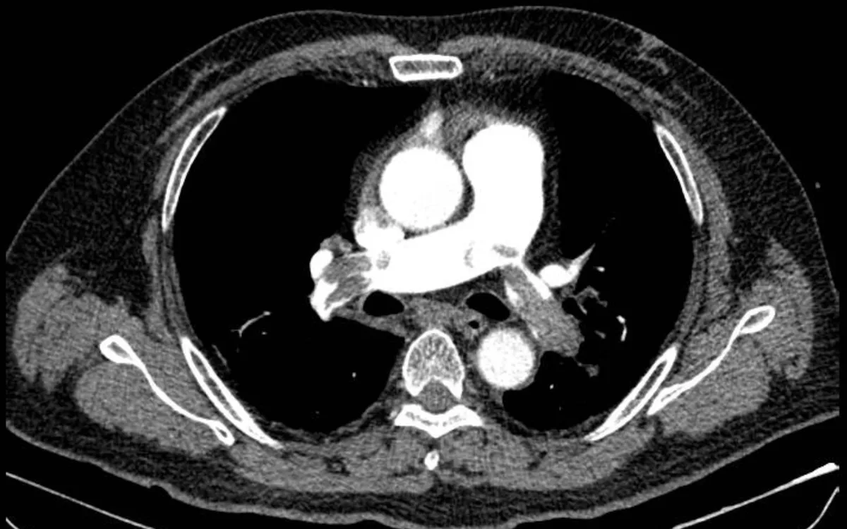
Hình ảnh chụp CT mạch máu phổi cho thấy huyết khối lớn bít tắc động mạch phổi hai bên. Ảnh: BVCC

Hình ảnh chụp CT mạch máu phổi cho thấy huyết khối lớn bít tắc động mạch phổi hai bên. Ảnh: BVCC

Khi đang làm việc ngoài đồng, người bệnh đột ngột chóng mặt, nặng ngực rồi ngất khoảng 2 phút. Tại cơ sở y tế địa phương, bệnh nhân được ghi nhận tụt huyết áp nghi ngờ nhồi máu cơ tim và nhanh chóng chuyển đến Bệnh viện Nhân Dân 115 trong tình trạng khó thở, mạch nhanh, huyết áp khó đo.

Kết quả điện tim và siêu âm tim cho thấy dấu hiệu quá tải thất phải cấp, điển hình của thuyên tắc phổi nặng. Bệnh nhân được dùng thuốc vận mạch ổn định huyết áp, sau đó chụp CT mạch máu phổi phát hiện huyết khối lớn bít tắc động mạch phổi hai bên. Với sự phối hợp của Khoa Hồi sức tích cực, người bệnh được chẩn đoán sốc tắc nghẽn do thuyên tắc phổi nguy cơ cao và được điều trị bằng thuốc tiêu sợi huyết.

Sau 1 tuần điều trị, bệnh nhân hồi phục tốt, huyết áp ổn định, hết khó thở, chức năng tim phải cải thiện rõ.

Theo bác sĩ Đỗ Công Tuấn, Khoa Cấp cứu, thuyên tắc phổi là bệnh lý nguy hiểm có thể dẫn đến tử vong nhanh nếu không được chẩn đoán và xử trí kịp thời. Trong trường hợp này, siêu âm mạch chi dưới cho thấy huyết khối tĩnh mạch đùi và khoeo trái, nguyên nhân liên quan đến thói quen hút thuốc lá lâu năm.

Các bác sĩ khuyến cáo: hút thuốc lá không trực tiếp gây thuyên tắc phổi nhưng làm tăng nguy cơ hình thành huyết khối và các bệnh tim mạch, hô hấp khác. Bỏ thuốc lá là cách đơn giản nhất để bảo vệ tim, phổi và tính mạng của chính mình.

Bạn cần đăng nhập để thực hiện chức năng này!

Bình luận không đăng nhập

Bạn không thể gửi bình luận liên tục.
Xin hãy đợi 60 giây nữa.