Nữ bệnh nhân 56 tuổi mắc dị tật nang ống giáp lưỡi hiếm gặp

Linh Chi

12/09/2025 15:33 GMT+7

VTV.vn - Chỉ chiếm khoảng 7% dân số, dị tật bẩm sinh nang ống giáp lưỡi vừa được phát hiện ở bệnh nhân 56 tuổi tại Phòng khám Medlatec Gò Vấp (TP Hồ Chí Minh).

Ngày 11/9, Phòng khám Đa khoa Medlatec Gò Vấp tiếp nhận bệnh nhân N.B. (56 tuổi, Tây Ninh) đến khám vì đau họng, ho nhiều, sổ mũi kéo dài. Trước đó, bệnh nhân từng điều trị viêm phổi nhưng không cải thiện.

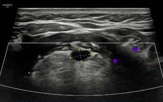
Qua thăm khám, bác sĩ chỉ định siêu âm tuyến giáp và chụp cắt lớp vi tính phổi liều thấp. Kết quả siêu âm ghi nhận hình ảnh dạng nang ít cản âm, giúp loại trừ khả năng tuyến giáp lạc chỗ dạng đặc. Đây là dấu hiệu quan trọng định hướng chẩn đoán chính xác: bệnh nhân mắc dị tật bẩm sinh nang ống giáp lưỡi.

Theo BSCKI Bùi Thị Cẩm Bình - chuyên khoa Nội, nang ống giáp lưỡi (còn gọi u nang giáp móng) hình thành do bất thường trong quá trình phát triển phôi thai của tuyến giáp, chiếm khoảng 7% dân số và có thể gặp ở mọi lứa tuổi.

Dù thường lành tính và tiến triển chậm, bệnh vẫn tiềm ẩn nguy cơ biến chứng như nhiễm trùng, mưng mủ, biến dạng vùng cổ, thậm chí ung thư nang giáp lưỡi.

Các bác sĩ khuyến cáo: khi phát hiện bất thường ở vùng cổ như khối u, sưng to, khó nuốt hoặc đau họng kéo dài, người dân cần đến cơ sở y tế uy tín để thăm khám. Thực hiện sớm kỹ thuật siêu âm, chụp cắt lớp sẽ giúp phân biệt nang giáp lưỡi với viêm hạch, nang tuyến giáp hay ung thư tuyến giáp, từ đó có hướng điều trị phù hợp.

Bạn cần đăng nhập để thực hiện chức năng này!

Bình luận không đăng nhập

Bạn không thể gửi bình luận liên tục.
Xin hãy đợi 60 giây nữa.