Nấm - kẻ giấu mặt nguy hiểm trong cơ thể người bệnh

Tuấn Văn

20/10/2025 14:59 GMT+7

VTV.vn - Không chỉ gây ngứa da hay nhiễm trùng thông thường, nấm có thể tấn công nội tạng, gây biến chứng nguy hiểm nếu không được phát hiện sớm và điều trị đúng hướng.

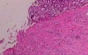
Tại Khoa Giải phẫu bệnh, Bệnh viện Nhân dân 115 (TP Hồ Chí Minh), các bác sĩ từng tiếp nhận bệnh nhân nam 67 tuổi đau thượng vị kéo dài, sau nội soi ghi nhận ổ loét dạ dày nghi nhiễm nấm. Mẫu mô được nhuộm đặc hiệu PAS cho thấy nấm xâm lấn mô viêm, giúp chẩn đoán sớm và chỉ định điều trị kịp thời, tránh biến chứng nặng.

Theo bác sĩ chuyên khoa, nấm là nhóm sinh vật tồn tại khắp nơi trong môi trường, thường chỉ gây bệnh khi cơ thể suy yếu - đặc biệt ở người đái tháo đường, dùng corticoid, hóa trị, kháng sinh kéo dài hoặc nằm hồi sức lâu ngày. Nấm có thể xâm nhập phổi, gan, tim, não, xoang, mắt, đường tiêu hóa hoặc vùng sinh dục, dễ bị nhầm với vi khuẩn, virus do triệu chứng không đặc hiệu.

Phát hiện sớm giúp giảm tử vong, biến chứng và chi phí điều trị, bởi thuốc kháng nấm thấm tốt hơn khi mô chưa hoại tử. Trong chẩn đoán, giải phẫu bệnh đóng vai trò quyết định, giúp xác định sự hiện diện của nấm qua vi thể, phân biệt với viêm do nguyên nhân khác, đánh giá mức độ xâm lấn và hướng dẫn xét nghiệm nuôi cấy hoặc PCR.

Bác sĩ khuyến cáo: Kiểm soát tốt các bệnh mạn tính như đái tháo đường. Không tự ý dùng corticoid hoặc kháng sinh khi chưa có chỉ định. Giữ vùng da khô thoáng, không dùng chung đồ cá nhân. Tái khám đúng hẹn hoặc đi khám sớm khi có dấu hiệu bất thường.

Phát hiện kịp thời qua mô bệnh học không chỉ giúp bác sĩ xác định đúng nguyên nhân mà còn cứu sống người bệnh trước "kẻ giấu mặt" mang tên nấm, vốn ngày càng trở thành thách thức trong y học hiện đại.

Bạn cần đăng nhập để thực hiện chức năng này!

Bình luận không đăng nhập

Bạn không thể gửi bình luận liên tục.
Xin hãy đợi 60 giây nữa.