Khối nấm ẩn trong khoang mũi - nguyên nhân gây đau đầu kéo dài ở người lớn tuổi

Tuấn Văn

21/10/2025 10:27 GMT+7

VTV.vn - Bệnh viện Nhân dân 115 (TP Hồ Chí Minh) vừa phẫu thuật lấy khối nấm trong xoang bướm khoang mũi, nguyên nhân gây đau đầu kéo dài ở bệnh nhân nữ 67 tuổi có nhiều bệnh lý nền.

Trước đó, bệnh nhân đau đầu kéo dài nhiều tháng, chảy nước mũi có mùi hôi dù đã khám và điều trị ở nhiều nơi nhưng không dứt.

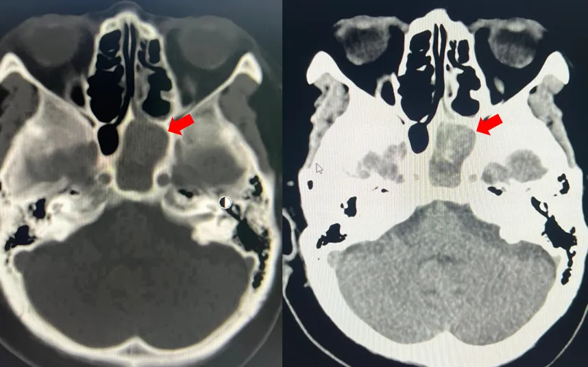
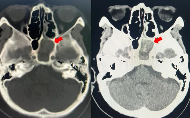
BSCKI. Nhâm Tấn Đạt cho biết, kết quả chụp CT scan và các xét nghiệm cho thấy người bệnh có khối nấm trong xoang bướm trái kèm nhiễm trùng xoang. Bệnh nhân đồng thời mắc tăng huyết áp, bệnh thận mạn giai đoạn III và đái tháo đường type 2 - những yếu tố làm bệnh dễ tiến triển nặng hơn.

Các bác sĩ đã phối hợp nhiều chuyên khoa để kiểm soát bệnh nền, sau đó tiến hành phẫu thuật nội soi mở xoang bướm, lấy sạch mô nấm và mô hoại tử. Sau mổ, người bệnh được chăm sóc và theo dõi sát, hiện không còn đau đầu hay chảy nước mũi, sức khỏe ổn định khi xuất viện.

Viêm xoang bướm do nấm là dạng nhiễm nấm không xâm lấn, thường gặp ở người trung niên và lớn tuổi, đặc biệt là nữ giới. Bệnh diễn tiến âm thầm, triệu chứng mơ hồ, dễ nhầm với viêm xoang mạn tính thông thường. Nếu không phát hiện kịp thời, khối nấm có thể chèn ép thần kinh thị giác, gây giảm thị lực hoặc biến chứng nặng như viêm mô quanh mắt, viêm màng não.

Theo bác sĩ Đạt, phương pháp điều trị chuẩn hiện nay là phẫu thuật nội soi mũi xoang để lấy trọn khối nấm, kết hợp dẫn lưu tốt sau mổ nhằm tránh tái phát. Người bệnh cần tái khám định kỳ, rửa mũi bằng nước muối sinh lý, tránh môi trường ô nhiễm và không tự ý dùng thuốc khi chưa có chỉ định.

Bạn cần đăng nhập để thực hiện chức năng này!

Bình luận không đăng nhập

Bạn không thể gửi bình luận liên tục.
Xin hãy đợi 60 giây nữa.