hút thuốc lá

Hút thuốc lá ảnh hưởng thị lực, tăng nguy cơ đục thủy tinh thể

Hút thuốc lá ảnh hưởng thị lực, tăng nguy cơ đục thủy tinh thể

VTV.vn - Khói thuốc không chỉ gây hại phổi và tim mạch mà còn làm tăng nguy cơ đục thủy tinh thể, thoái hóa điểm vàng.
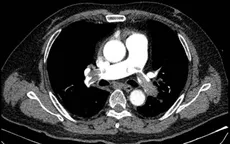
Cấp cứu kịp thời ca thuyên tắc phổi ở người bệnh hút thuốc lá

Cấp cứu kịp thời ca thuyên tắc phổi ở người bệnh hút thuốc lá

VTV.vn - Bệnh viện Nhân Dân 115 (TP Hồ Chí Minh) vừa cứu sống nam bệnh nhân 51 tuổi bị thuyên tắc phổi cấp nặng biến chứng sốc.
Vụ nhân viên quán cà phê bị hành hung: Gia đình nạn nhân bức xúc

Vụ nhân viên quán cà phê bị hành hung: Gia đình nạn nhân bức xúc

VTV.vn - Nhân viên quán cà phê ở Times City (Hà Nội) bị hành hung nhập viện sau khi nhiều lần nhắc khách tuân thủ quy định cấm hút thuốc.
Ô nhiễm không khí có thể gây đột biến ADN dẫn đến ung thư phổi ở người không hút thuốc

Ô nhiễm không khí có thể gây đột biến ADN dẫn đến ung thư phổi ở người không hút thuốc

VTV.vn - Nghiên cứu mới đây đã phát hiện mối liên hệ giữa ô nhiễm không khí và nhiều loại đột biến ADN gây ung thư phổi, đặc biệt ở những người được chẩn đoán mắc bệnh này mặc dù chưa từng hút thuốc lá.
Tăng thuế thuốc lá: "Lợi ích kép" cho sức khỏe và ngân sách

Tăng thuế thuốc lá: "Lợi ích kép" cho sức khỏe và ngân sách

VTV.vn - Giá thành rẻ, dễ mua, dễ sử dụng mà không phải chịu nhiều áp lực về chi phí là thực tế phổ biến của những người hút thuốc hiện nay.
Pháp cấm thuốc lá ở hầu hết khu vực công cộng

Pháp cấm thuốc lá ở hầu hết khu vực công cộng

VTV.vn-Trước thực trạng tỷ lệ hút thuốc tăng cao báo động, Pháp sẽ áp dụng lệnh cấm hút thuốc ở những nơi công cộng ngoài trời thường xuyên có sự xuất hiện của trẻ em, từ ngày 1/7.
Tăng thuế thuốc lá: Giải pháp hiệu quả để bảo vệ sức khỏe cộng đồng

Tăng thuế thuốc lá: Giải pháp hiệu quả để bảo vệ sức khỏe cộng đồng

VTV.vn - Theo khuyến nghị của chuyên gia, tăng thuế thuốc lá là biện pháp mạnh, hiệu quả và ít tốn kém để giảm hút thuốc, cải thiện sức khỏe cộng đồng và tăng thu ngân sách.
Xác minh video nhóm nữ học sinh tiểu học hút thuốc trong sân trường

Xác minh video nhóm nữ học sinh tiểu học hút thuốc trong sân trường

VTV.vn - Đại diện lãnh đạo Phòng GD&ĐT TP Long Xuyên cho biết, qua xác minh, đoạn clip được ghi lại là nhóm học sinh của trường Tiểu học Lê Hồng Phong, phường Mỹ Thới.
Anh cấm sử dụng thuốc an thần xylazine

Anh cấm sử dụng thuốc an thần xylazine

VTV.vn - Chính phủ Anh vừa chính thức cấm loại thuốc an thần mạnh xylazine, trong nỗ lực giảm thiểu số ca tử vong liên quan đến chất gây nghiện.
Gấp rút xây dựng chế tài xử phạt hút thuốc lá điện tử

Gấp rút xây dựng chế tài xử phạt hút thuốc lá điện tử

VTV.vn - Các cơ quan chức năng gấp rút xây dựng dự thảo nghị định nhằm đưa ra chế tài cụ thể xử phạt hành vi sử dụng thuốc lá điện tử, thuốc lá nung nóng.
Hút 1 điếu thuốc lá làm giảm tuổi thọ như thế nào?

Hút 1 điếu thuốc lá làm giảm tuổi thọ như thế nào?

VTV.vn - Nghiên cứu đăng trên tạp chí chuyên ngành Journal of Addiction được Chính phủ Anh ủy quyền thực hiện nhằm hiểu rõ hơn tác động của việc hút thuốc đối với sức khỏe.
Đề xuất bổ sung xử phạt người hút thuốc lá điện tử từ 1 - 2 triệu đồng

Đề xuất bổ sung xử phạt người hút thuốc lá điện tử từ 1 - 2 triệu đồng

VTV.vn - Sẽ đề xuất bổ sung mức xử phạt đối với hành vi sử dụng thuốc lá điện tử, thuốc lá nung nóng. Đây là thông tin được đại diện Vụ Pháp chế, Bộ Y tế đưa ra mới đây.
Tăng thuế để giảm hút thuốc lá

Tăng thuế để giảm hút thuốc lá

VTV.vn - Tỷ lệ sử dụng thuốc lá ở Việt Nam hiện nay là hơn 41 % dân số. Và điều đáng lo ngại hơn là mức tiêu thụ thuốc lá lại đang bắt đầu tăng trở lại.
Cảnh báo "đại dịch" thuốc lá điện tử

Cảnh báo "đại dịch" thuốc lá điện tử

VTV.vn - Các bác sĩ hàng đầu tại Anh đang hối thúc chính phủ thông qua luật để giải quyết "đại dịch thuốc lá điện tử", đặc biệt là trong giới trẻ.
Tăng thuế để giảm người hút thuốc lá

Tăng thuế để giảm người hút thuốc lá

VTV.vn -Từ năm 2008 đến 2019, Việt Nam đã thực hiện ba lần tăng thuế tiêu thụ đặc biệt với thuốc lá nhưng mức tăng thuế mỗi lần chỉ 5% và khoảng cách mỗi lần tăng thuế dài.