Ho ra máu tái diễn vì khối u nấm phổi

Văn Thành

10/09/2025 17:53 GMT+7

VTV.vn - Bệnh viện Đa khoa tỉnh Quảng Ninh vừa thực hiện thành công ca cắt thùy phổi cho bệnh nhân nữ 65 tuổi mắc u nấm phổi phức tạp, chấm dứt tình trạng ho ra máu kéo dài.

Bệnh nhân Đ.T.L., trú tại Hưng Yên, có tiền sử bệnh phổi tắc nghẽn mạn tính, nhập viện trong tình trạng ho nhiều và ho ra máu tái diễn. Kết quả thăm khám, hội chẩn xác định bệnh nhân có u nấm phổi thùy trên phổi trái, nguy cơ chảy máu nặng nên được chỉ định phẫu thuật cắt thùy phổi.

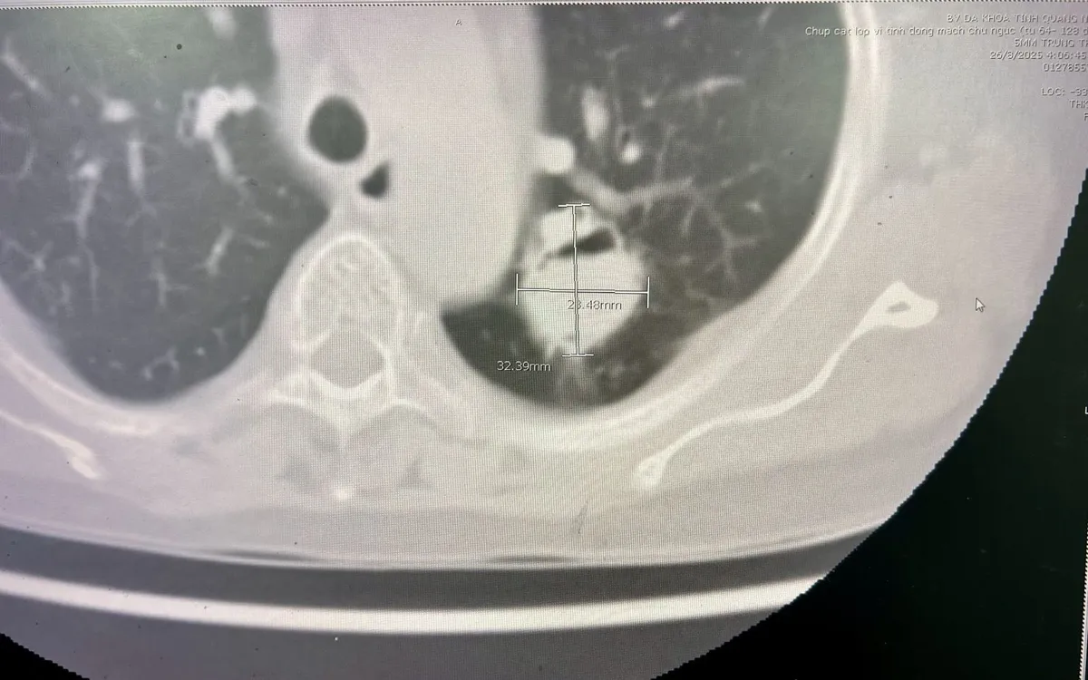
Trong ca mổ, khối u kích thước hơn 3cm nằm sát rốn phổi, dính nhiều vào thùy dưới, thành ngực và động mạch chủ, khiến việc bóc tách trở nên phức tạp. Sau hơn 2 giờ, ekip phẫu thuật đã cắt trọn thùy phổi chứa u nấm, bảo tồn phần phổi còn lại, đảm bảo thông khí tốt.

Hiện tại, sức khỏe bệnh nhân ổn định, không còn tình trạng ho ra máu. Dự kiến bệnh nhân sẽ được xuất viện trong ngày và tiếp tục tái khám định kỳ sau 1 tháng.

BSCKI Bùi Văn Dũng - Phó Khoa Ngoại, cho biết u nấm phổi thường hình thành trên nền hang lao cũ, triệu chứng điển hình là ho ra máu, có thể dẫn đến biến chứng nguy hiểm. Phẫu thuật cắt thùy phổi là phương pháp điều trị hiệu quả nhất trong các trường hợp phức tạp.

Vì vậy, khi xuất hiện tình trạng ho ra máu, người bệnh cần được thăm khám tại các cơ sở y tế có chuyên khoa ngoại lồng ngực và hô hấp để được chẩn đoán, điều trị kịp thời.

Bạn cần đăng nhập để thực hiện chức năng này!

Bình luận không đăng nhập

Bạn không thể gửi bình luận liên tục.
Xin hãy đợi 60 giây nữa.