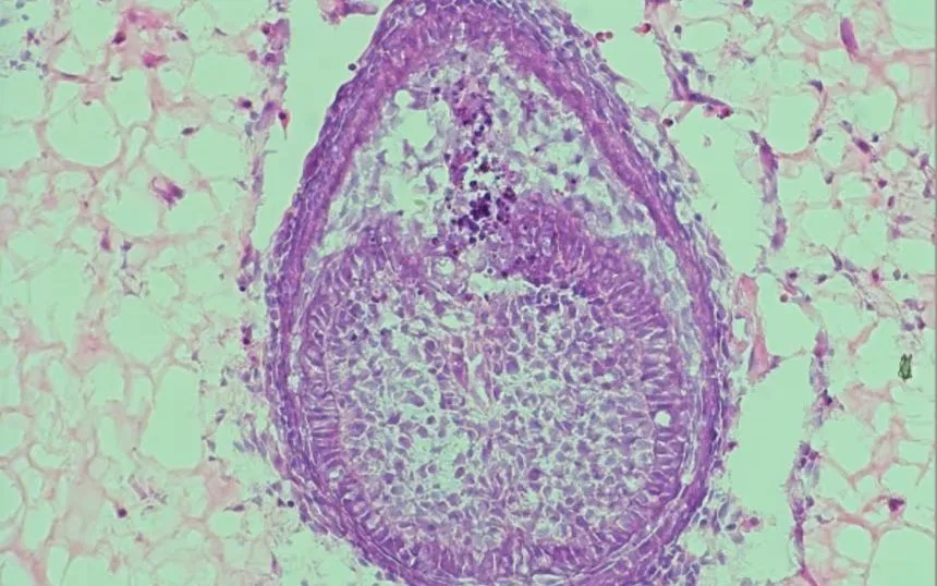
Mẫu lát cắt của cơ quan răng được nuôi trong phòng thí nghiệm tại King’s College London (Ảnh: Xuechen Zhang)
Thay thế răng hiện nay thường cần phẫu thuật xâm lấn, cấy trụ titan vào xương hàm và chờ nhiều tháng để gắn mão sứ. Tuy nhiên, các nhóm nghiên cứu trên thế giới đang tìm cách nuôi răng sinh học ngay trong phòng thí nghiệm để thay thế răng bị mất.
Tại King’s College London (Anh), Tiến sĩ Ana Angelova Volponi, Giám đốc chương trình sau đại học về nha khoa tái tạo, đã nghiên cứu công nghệ nuôi răng trong gần 20 năm. Năm 2013, bà cùng cộng sự đã tạo thành công răng từ tế bào người và chuột.
Trong nghiên cứu mới công bố năm 2025, nhóm của bà đạt bước tiến khi phát triển vật liệu hydrogel - giúp mô phỏng môi trường miệng người tốt hơn, tạo điều kiện cho tế bào hình thành mầm răng tự nhiên hơn.
Theo bà Volponi, hai loại tế bào - gồm tế bào nướu người trưởng thành và tế bào mầm răng từ phôi chuột - tương tác với nhau trong quá trình tạo răng. Sau 8 ngày nuôi trong hydrogel, các cấu trúc giống răng đã hình thành.

Tiến sĩ Xuechen Zhang và Ana Angelova Volponi trong phòng thí nghiệm tại King’s College London (Ảnh: Liqun Xu)
Nhiều thách thức vẫn còn trước khi có thể ứng dụng trên người, song kết quả này giúp cải thiện “cuộc đối thoại” giữa các tế bào tạo răng. Nếu thay thế được tế bào chuột bằng tế bào người, các nhà khoa học kỳ vọng răng sinh học có thể được cấy trực tiếp vào ổ răng hoặc nuôi hoàn chỉnh trước khi cấy ghép.
Một chiếc răng thật được tạo từ chính tế bào người sẽ giúp hạn chế viêm, không bị đào thải và mang lại cảm giác tự nhiên hơn so với răng cấy ghép kim loại.
Ngoài nhóm nghiên cứu của bà Volponi, các nhà khoa học tại Nhật Bản, Mỹ và Anh cũng đang theo đuổi hướng đi tương tự. Một số thử nghiệm lâm sàng thậm chí đã bắt đầu với mục tiêu giúp con người mọc lại răng tự nhiên trong thập kỷ tới.
Bình luận (0)