Cảnh báo nguy cơ tử vong khi viêm phổi xảy ra ở người bệnh gan mạn

Khánh Chi

06/10/2025 20:22 GMT+7

VTV.vn - Bệnh viện Đa khoa Vân Đình (Hà Nội) vừa cứu sống nam bệnh nhân 52 tuổi mắc viêm phổi cộng đồng nặng trên nền xơ gan, viêm gan B mạn tính và lạm dụng rượu.

Bệnh nhân nhập viện trong tình trạng sốt cao, ho nhiều, khạc đờm đục, đau ngực và khó thở, toàn thân mệt mỏi. Sau khi thăm khám, làm các xét nghiệm cận lâm sàng, kết quả cho thấy bệnh nhân bị viêm phổi nặng, chức năng gan suy giảm rõ, men gan tăng cao.

Các bác sĩ đã chẩn đoán viêm phổi cộng đồng trên bệnh nhân xơ gan, viêm gan B mạn tính và tiến hành điều trị tích cực bằng kháng sinh theo kháng sinh đồ, kết hợp thuốc hỗ trợ chức năng gan, bù dịch, điện giải, theo dõi sát hô hấp và dinh dưỡng hợp lý.

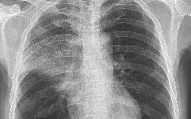
Sau 7 ngày điều trị, tình trạng bệnh nhân cải thiện rõ rệt: hết sốt, giảm ho, giảm đau ngực, ăn uống, ngủ nghỉ tốt, các chỉ số sinh tồn ổn định, X-quang phổi cho thấy vùng viêm mờ đã thu nhỏ đáng kể.

Các bác sĩ cho biết, viêm phổi ở người có bệnh gan mạn, nghiện rượu hoặc suy giảm miễn dịch thường diễn biến nặng, dễ dẫn đến suy hô hấp, nhiễm khuẩn huyết, thậm chí tử vong nếu không được phát hiện và điều trị sớm.

Bác sĩ khuyến cáo, người có bệnh gan mạn tính, hút thuốc lá, uống rượu hoặc có biểu hiện sốt, ho kéo dài, khạc đờm, đau tức ngực cần đi khám sớm tại các cơ sở y tế có chuyên khoa hô hấp để được chẩn đoán và điều trị đúng cách, tránh biến chứng nặng.

Bạn cần đăng nhập để thực hiện chức năng này!

Bình luận không đăng nhập

Bạn không thể gửi bình luận liên tục.
Xin hãy đợi 60 giây nữa.